12 年
手机商铺
公司新闻/正文
1675 人阅读发布时间:2024-01-22 17:21
纳米材料(nanoparticles, NPs)在药物递送、光热疗法、诊断成像和光动力疗法等疾病的诊断和治疗领域得到了广泛的研究。曾被广泛用作修饰纳米材料表面的金标准方法聚乙二醇(PEG)可有效逃避网状内皮系统的清除,但是在持续给药后被肝脏迅速清除,反而加速了血液清除。因此,大量研究工作发现了更适合体内药物递送的仿生纳米系统。其中,纳米粒生物功能化最突出的技术就是细胞膜仿生技术(cell membrane biomimetic modified nanoparticles, CMBMNPs)。
细胞膜仿生技术以细胞膜作为载体,利用生物体内的细胞膜结构和功能,模拟其特性,将其应用于纳米材料的制备和功能设计,细胞膜修饰不会破坏纳米材料原有的物理化学性质,同时还利用细胞膜表面蛋白质和多糖的功能使NPs避免被免疫系统攻击,促进纳米材料在体内的长循环和靶向递送,并具有较好的生物相容性和选择通透性。
细胞膜修饰纳米颗粒可分为三个关键步骤:
(1)选取合适的细胞并分离具有活性的细胞膜
(2)制备相应的纳米颗粒
(3)使用细胞膜包裹纳米颗粒物,形成核壳结构
细胞膜(质膜)是哺乳动物细胞的最外层,由脂质组成,脂质在其双层结构内含有各种聚糖、蛋白质和蛋白聚糖。分离出具有活性功能且大小适合的细胞膜,是细胞膜仿生技术的关键点。
分离方案分享
INVENT柱式法质膜分离技术已经被证实可有效完成细胞膜的分离(仅限科研使用)

Fig1.使用Invent试剂盒分离的C6癌细胞囊泡电镜图
图片来源:DOI:10.1016/j.nanoen.2021.106208.
Invent质膜和细胞组分分离试剂盒(Cat#SM-005)
1.可快速获取具有天然活性并且大小基本均一的囊泡状质膜结构,适合细胞膜仿生实验。
2. 保留质膜结构上的自身识别分子、糖脂、脂蛋白等。
3. 适用于多种细胞的细胞膜分离,如炎症细胞、肿瘤细胞、免疫细胞、干细胞、内皮细胞等。
4. 仅需2*10^7个细胞样品即可完成细胞膜分离。
5. 无需超高速离心及密度梯度剂配制。
6. 操作简单,1小时即可完成。
7. 与其他膜组分交叉污染率低。
案例分享
NO.1Kongshuo Ma【1】等人通过在Au/ZnO纳米组件上修饰聚乙二醇(PEG)和线粒体靶向肽(MLS),使用Invent质膜及细胞组分分离试剂盒(Cat#SM-005)从C6癌细胞中获取细胞膜(CCM)包裹纳米材料,成功构建了一种新型的Au/ZnO肿瘤治疗平台(MP-Au/ZnO@CCM), 并将其用于有效的肿瘤治疗。MP-Au/ZnO@CCM 纳米发电机在超声激发下以多种方式有效地实现了肿瘤的靶向电刺激和增强的催化治疗。

Fig2. MP-Au/ZnO@CCM形态和成分特征
图片来源:DOI:10.1016/j.nanoen.2021.106208.

Fig3.通过动态光散射测量AuNPs和CCM囊泡的尺寸分布
图片来源:DOI:10.1016/j.nanoen.2021.106208.
Ilina Bhattacharya【2】等人研究发现质膜衍生的脂质体在预防单纯疱疹病毒1型(HSV-1)感染方面具有药理学和治疗能力。本研究中使用了来源于HSV-1感染的人角膜上皮细胞(HCE)以及Vero细胞和未感染的中国仓鼠卵巢(CHO)细胞的质膜脂质体。研究发现与缺乏相关HSV-1进入受体的CHO衍生的脂质体相比,表达病毒进入特异性细胞表面蛋白受体的HCE和Vero衍生的细胞脂质体表现出稳健的抗病毒活性。用HSV-2型(HSV-2)和伪狂犬病病毒对质膜衍生脂质体进行的进一步实验产生了类似的结果,表明采用这些脂质体研究无细胞环境中病毒进入机制的强大潜力。

Fig4.柱式法试剂盒分离的质膜组分的表征和验证
使用Invent质膜及细胞组分分离试剂盒(Cat#SM-005)分离质膜囊泡验证结果 (A)在光学显微镜下从Vero细胞分离的分离的质膜NP的100×图像。(右)从Vero细胞分离的质膜囊泡的电子显微镜图像。(B)从全细胞裂解物中分离的各组分的蛋白质印迹分析。(C)通过MTT测定评估质膜处理的HCE细胞的细胞活力。
图片来源:doi.org/10.3390/v14040799
Fenglan Li【3】等人研究发现具有特定成分和形态的纳米粒子可以在癌细胞中诱导自噬反应,研究者设计了一种新型的纳米药物系统,使用Invent质膜及细胞组分分离试剂盒(Cat#SM-005)分离小鼠4T-1三阴性乳腺癌细胞或人宫颈癌(HeLa)细胞的细胞膜包裹ZIF-8颗粒,氯喹(CQ)和葡萄糖氧化酶(Gox)的纳米粒(MCG@ZIF),旨在通过饥饿治疗和自噬调节策略相结合来增强抗癌效果。研究发现,ZIF-8作为纳米载体可以通过上游锌离子刺激的线粒体活性氧物种(ROS)诱导自噬来促进癌细胞的存活,从而在肿瘤酸性微环境下利用MCG@ZIF释放的CQ抑制这种促生存的自噬,从而直接实现抗癌作用。此外,Gox引起的饥饿状态下的癌细胞利用自噬来维持细胞内的ATP水平,并抵抗饥饿治疗。释放的CQ进一步抑制了饥饿诱导的存活自噬,切断了癌细胞的保护途径,提高了基于Gox的饥饿治疗的抗癌效率。值得注意的是,细胞膜涂层使MCG@ZIF具有良好的体内同型靶向能力。
Fig5. mCG@ZIF NPs的制备过程示意图
图片来源:doi.org/10.1021/acsami.2c00552

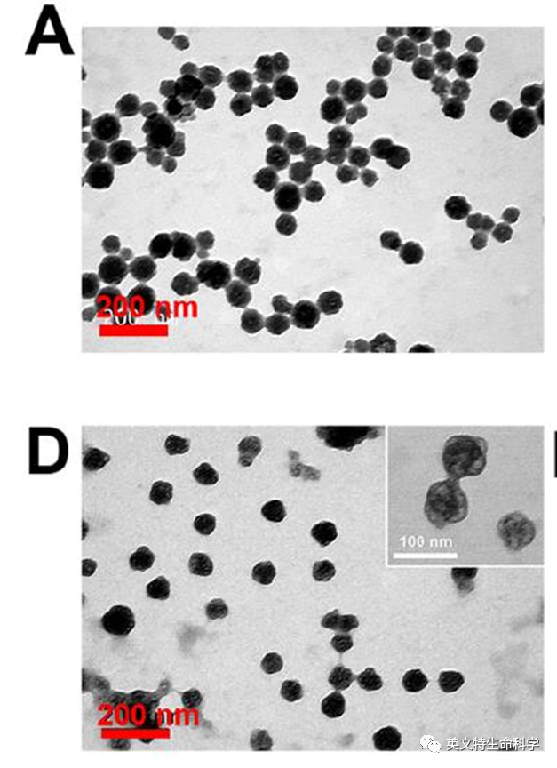
Fig6. (A)CG@ZIF 的电镜图像和(D)放大的电镜图像(插入)mCG@ZIF.
图片来源:doi.org/10.1021/acsami.2c00552
参考文献:
【1】Kongshuo Ma, Guohua Qi, Bo Wang, et al.Ultrasound-activatedAu/ZnO-based Trojan nanogenerators for combined targeted electrostimulation andenhanced catalytic therapy of tumor.Nano Energy. 2021, DOI:10.1016/j.nanoen.2021.106208.
【2】Bhattacharya, I., Yadavalli, T., Wu, D., & Shukla, D. (2022). Plasma Membrane-Derived Liposomes Exhibit Robust Antiviral Activity against HSV-1. Viruses, 14(4), 799.
【3】Li, F., Chen, T., Wang, F., Chen, J., Zhang, Y., Song, D., ... & Zhuang, J. (2022). Enhanced Cancer Starvation Therapy Enabled by an Autophagy Inhibitors-Encapsulated Biomimetic ZIF-8 Nanodrug: Disrupting and Harnessing Dual Pro-Survival Autophagic Responses. ACS Applied Materials & Interfaces.


添加我了解更多信息!